X光、CT、磁共振有辐射吗?辐射大小,医生一次说清楚
作为当前医疗检查的主要项目,X光、CT、磁共振等影像检查都有各自的特点。然而它们的辐射大不大?听听我院放射影像科专家的回答。
X光:辐射剂量很低
远低于国家规定的安全阈值
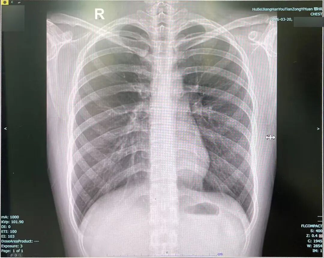
X光片是利用X射线穿透人体,根据不同组织密度不同,来形成有黑白对比的平面图像,常用于检查骨折、肺部炎症等。
我国放射防护标准规定,放射工作人员每年剂量限值是50mSv,而拍一次X光胸片的辐射量大约是0.1mSv,远低于国家规定的安全阈值,因此在规范操作下对人体健康风险极小。

西门子数字化X线机(上图)
胸部X片(右图)

虽然X光单次检查辐射剂量极低,常规一次胸片、四肢X线检查,对人体几乎无伤害,但仍然建议孕妇(尤其孕早期)、婴幼儿避免非必要检查。
CT:辐射剂量比拍X片高
但在安全范围内
CT相当于“立体X光”,是通过X射线环绕扫描,一层一层获取人体的断面图像,再重组成三维图像。
这项检查能清晰显示全身各器官的细微病变,如早期肺癌、脑出血等,是发现早期肿瘤、评估复杂伤情的重要工具。

320排CT(上图)
冠脉CTA重建的3D影像(右图)

虽然拍单次CT比拍单次X片的辐射剂量高,有“做一次CT相当于拍几十到几百次X光”的说法,但做一次低剂量胸部CT的辐射量约1mSv,口腔CT这类局部检查辐射量更低。



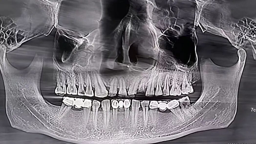
口腔锥形束CT(左图)
口腔CT拍摄的CT影像(右图)
我院的320排CT、口腔锥形束CT西门子数字化X线机都是超低剂量辐射,不管是拍CT、冠脉CTA还是牙片、X片等,辐射剂量都在标准范围内。
专家提醒:单次合理剂量的CT、X片检查,辐射风险极低,希望患者不要因噎废食。
磁共振(MRI):无辐射
磁共振是利用强磁场和射频脉冲,激发人体水分子中的氢原子共振,再通过接收信号重建图像,由于完全不依赖X射线,所以没有辐射风险。

核磁共振仪(上图)
头部磁共振影像(右图)

这项检查对肌肉、神经、韧带、脊髓等软组织的分辨能力很强,常用来诊断关节损伤、脑肿瘤、椎间盘突出等。
虽然这项检查无辐射风险,但因为检查过程中患者处于强磁场范围,体内有心脏起搏器、人工耳蜗等铁磁性金属植入物者严禁检查,且金属物品绝对不能带进检查室。
我院放射影像科是潜江市临床重点专科。开展的技术有:
X光:胸部X光数字成像、全身各部位普通摄片、全口曲面断层摄影等。
造影:低张气钡胃肠造影(包括上消化造影、小肠灌肠、钡灌肠造影)、T管造影、下肢静脉造影、静脉肾盂造影、逆行肾孟造影等特殊造影检查。
CT:全身各部位螺旋CT平扫、增强、延迟、放大、薄层骨函数扫描;多排螺旋CT三维重建、多平面重建、容积重建等图像后处理;CT全身各部位血管成像包括冠状动脉、颅内动脉瘤、胸腹部夹层动脉瘤等;泌尿系统CT(CTU);CT引导下全身各部位穿刺定位及活检术等检查。
磁共振(MRI):全身各部位成像及强化成像,MRI血管造影,MR泌尿系、胆系水成像,全身类PET成像,MR波谱成像,MR扩散加权成像,MR弥散张量成像,MR灌注成像,MR磁敏感成像等。
咨询电话:0728-6593130
坐诊时间 |
坐诊专家 |
|---|---|
周一、周三、周五上午 |
何雄兵主任医师 |
| 周一至周五全天 | 王兵号副主任医师 |
供稿:党群工作部 林珏
编辑:党群工作部
审核:文佐娟

潜江市江汉油田总医院
以人为本 优质诚信

医院地址:湖北省潜江市广华安康路T32号
咨询电话:0728-6593279
急救电话:0728-6502311、0728-6593251







